网站导航

24小时服务热线:19103801095

欢迎来到北京飞速度医疗科技有限公司【官网】

浙江省首个人工智能医疗器械产品——肺结节CT影像辅助检测软件获批上市

当前位置:首页 > 资讯中心 > 基础知识

来源:飞速度医疗器械咨询  发布时间:2021-08-18  

新闻资讯

NEWS CENTER

联系我们

contact us

请备注医疗器械注册咨询
业务咨询:19103801095(施先生,微信同)
市场合作:15577402464
周一至周日 8:00~22:00

在线客服
周一至周日8:00-22:00
QQ在线客服

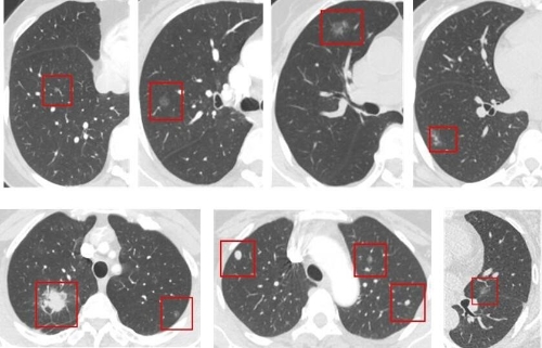
近日,国家药品监督管理局经审查,批准了杭州深睿博联科技有限公司生产的创新产品“肺结节CT影像辅助检测软件”的注册。

该产品物理组成包括安装光盘和加密狗,逻辑组成包括客户端软件、Web端软件及服务器软件。该产品用于胸部CT影像的显示、处理、测量和分析,可对4mm及以上肺结节进行自动识别并分析结节影像学特征,。 同时属于人工智能医疗器械软件,基于深度学习技术的基本框架,可实现肺结节的自动检出。在保证肺结节检出准确性满足临床需求的基础上,提高检出效率,减轻医师工作量。

省局将不断加强该产品上市后监管,切实保护患者用械安全。

 

附件:国家药监局已批准的创新医疗器械

序号

产品名称

生产企业

注册证号

1

基因测序仪

深圳华因康基因科技有限公司

国械注准20143402171

2

恒温扩增微流控芯片核酸分析仪

博奥生物集团有限公司

国械注准20153400580

3

双通道植入式脑深部电刺激脉冲发生器套件

苏州景昱医疗器械有限公司

国械注准20153210970

4

植入式脑深部电刺激电极导线套件

苏州景昱医疗器械有限公司

国械注准20153210971

5

植入式脑深部电刺激延伸导线套件

苏州景昱医疗器械有限公司

国械注准20153210972

6

MTHFR C677T基因检测试剂盒(PCR-金磁微粒层析法)

西安金磁纳米生物技术有限公司

国械注准20153401148

7

脱细胞角膜基质

深圳艾尼尔角膜工程有限公司

国械注准20153460581

8

Septin9基因甲基化检测试剂盒(PCR荧光探针法)

博尔诚(北京)科技有限公司

国械注准20153401481

9

乳腺X射线数字化体层摄影设备

科宁(天津)医疗设备有限公司

国械注准20153302052

10

运动神经元存活基因1(SMN1)外显子缺失检测试剂盒(荧光定量PCR法)

上海五色石医学研究有限公司

国械注准20153402293

11

三维心脏电生理标测系统

上海微创电生理医疗科技有限公司

国械注准20163770387

12

呼吸道病原菌核酸检测试剂盒(恒温扩增芯片法)

博奥生物集团有限公司

国械注准20163400327

13

脱细胞角膜植片

广州优得清生物科技有限公司

国械注准20163460573

14

植入式迷走神经刺激脉冲发生器套件

北京品驰医疗设备有限公司

国械注准20163210989

15

植入式迷走神经刺激电极导线套件

北京品驰医疗设备有限公司

国械注准20163210990

16

药物洗脱外周球囊扩张导管

北京先瑞达医疗科技有限公司

国械注准20163771020

17

冷盐水灌注射频消融导管

上海微创电生理医疗科技有限公司

国械注准20163771040

18

胸骨板

常州华森医疗器械有限公司

国械注准20163461582

19

正电子发射及X射线计算机断层成像装置

明峰医疗系统股份有限公司

国械注准20163332156

20

人工晶状体

爱博诺德(北京)医疗科技有限公司

国械注准20163221747

21

骨科手术导航定位系统

北京天智航医疗科技股份有限公司

国械注准20163542280

22

低温冷冻消融手术系统

海杰亚(北京)医疗器械有限公司

国械注准

20173583088

23

一次性使用无菌冷冻消融针

海杰亚(北京)医疗器械有限公司

国械注准20173583089

24

可变角双探头单光子发射计算机断层成像设备

北京永新医疗设备有限公司

国械注准20173330681

25

全降解鼻窦药物支架系统

浦易(上海)生物科技有限公司

国械注准20173460679

26

经皮介入人工心脏瓣膜系统

杭州启明医疗器械有限公司

国械注准20173460680

27

介入人工生物心脏瓣膜

苏州杰成医疗科技有限公司

国械注准20173460698

28

一次性可吸收钉皮内吻合器

北京颐合恒瑞医疗科技有限公司

国械注准20173650874

29

左心耳封堵器系统

先健科技(深圳)有限公司

国械注准20173770881

30

分支型主动脉覆膜支架及输送系统

上海微创医疗器械(集团)有限公司

国械注准20173463241

31

折叠式人工玻璃体球囊

广州卫视博生物科技有限公司

国械注准20173223296

32

腹主动脉覆膜支架系统

北京华脉泰科医疗器械有限公司

国械注准20173461434

33

植入式心脏起搏器

先健科技(深圳)有限公司

国械注准20173211570

34

人类EGFR基因突变检测试剂盒(多重荧光PCR法)

厦门艾德生物医药科技股份有限公司

国械注准20183400014

35

可吸收硬脑膜封合医用胶

山东赛克赛斯药业科技有限公司

国械注准20183650031

36

血管重建装置

微创神通医疗科技(上海)有限公司

国械注准20183770102

37

miR-92a检测试剂盒(荧光RT-PCR法)

深圳市晋百慧生物有限公司

国械注准20183400108

38

丙型肝炎病毒核酸测定试剂盒(PCR-荧光探针法)

北京纳捷诊断试剂有限公司

国械注准20183400157

39

脑血栓取出装置

江苏尼科医疗器械有限公司

国械注准20183770186

40

定量血流分数测量系统

博动医学影像科技(上海)有限公司

国械注准20183210282

41

人EGFR/ALK/BRAF/KRAS基因突变联合检测试剂盒(可逆末端终止测序法)

广州燃石医学检验所有限公司

国械注准20183400286

42

全自动化学发光免疫分析仪

北京联众泰克科技有限公司

国械注准

20183220293

43

人EGFR、KRAS、BRAF、PIK3CA、ALK、ROS1基因突变检测试剂盒(半导体测序法)

天津诺禾致源生物信息科技有限公司

国械注准

20183400294

44

复合疝修补补片

上海松力生物技术有限公司

国械注准20183130292

45

正电子发射断层扫描及磁共振成像系统

上海联影医疗科技有限公司

国械注准

20183060337

46

EGFR/ALK/ROS1/BRAF/KRAS/HER2基因突变检测试剂盒(可逆末端终止测序法)

南京世和医疗器械有限公司

国械注准20183400408

47

植入式骶神经刺激电极导线套件

北京品驰医疗设备有限公司

国械注准20183120409

48

植入式骶神经刺激器套件

北京品驰医疗设备有限公司

国械注准20183120410

49

人类SDC2基因甲基化检测试剂盒(荧光PCR法)

广州市康立明生物科技有限责任公司

国械注准20183400506

50

人类10基因突变联合检测试剂盒(可逆末端终止测序法)

厦门艾德生物医药科技股份有限公司

国械注准20183400507

51

医用电子直线加速器

广东中能加速器科技有限公司

国械注准20183050520

52

瓣膜成形环

金仕生物科技(常熟)有限公司

国械注准20183130534

53

神经外科手术导航定位系统

华科精准(北京)医疗科技有限公司

国械注准20183010598

54

医用直线加速器系统

上海联影医疗科技有限公司

国械注准20183050599

55

多孔钽骨填充材料

重庆润泽医药有限公司

国械注准20193130001

56

生物可吸收冠状动脉雷帕霉素洗脱支架系统

乐普(北京)医疗器械股份有限公司

国械注准20193130093

57

病人监护仪

深圳迈瑞生物医疗电子股份有限公司

国械注准20193070154

58

腹主动脉覆膜支架及输送系统

微创心脉医疗科技(上海)有限公司

国械注准20193130182

59

左心耳闭合系统

北京迈迪顶峰医疗科技有限公司

国械注准20193130278

60

左心耳封堵器系统

上海普实医疗器械科技有限公司

国械注准20193130279

61

调强放射治疗计划系统软件

中科超精(安徽)科技有限公司

国械注准20193210281

62

数字乳腺X射线摄影系统

上海联影医疗科技有限公司

国械注准20193060280

63

正电子发射及X射线计算机断层成像扫描系统

湖北锐世数字医学影像科技有限公司

国械注准

20193060364

64

经导管植入式无导线起搏系统Micra Transcatheter Leadless Pacemaker system

美敦力公司

Medtronic Inc.

国械注进20193120297

65

经导管主动脉瓣膜系统

上海微创心通医疗科技有限公司

国械注准20193130494

66

一次性使用血管内成像导管

南京沃福曼医疗科技有限公司

国械注准20193060601

67

无创血糖仪

博邦芳舟医疗科技(北京)有限公司

国械注准20193070602

68

植入式左心室辅助系统

重庆永仁心医疗器械有限公司

国械注准20193120603

69

脱细胞角膜植片

青岛中皓生物工程有限公司

国械注准20193160679

70

冠状动脉造影血流储备分数测量系统

苏州润迈德医疗科技有限公司

国械注准20193070969

71

一次性使用有创压力传感器

苏州润迈德医疗科技有限公司

国械注准20193070970

72

正电子发射及X射线计算机断层成像扫描系统

上海联影医疗科技有限公司

国械注准20193060998

73

核酸扩增检测分析仪

杭州优思达生物技术有限公司

国械注准20193061026

74

穿刺手术导航设备

医达极星医疗科技(苏州)有限公司

国械注准20203010034

75

冠脉血流储备分数计算软件

北京昆仑医云科技有限公司

国械注准20203210035

76

人EGFR/KRAS/BRAF/HER2/ALK/ROS1基因突变检测试剂盒(半导体测序法)

厦门飞朔生物技术有限公司

国械注准20203400094

77

胚胎植入前染色体非整倍体检测试剂盒(半导体测序法)

苏州贝康医疗器械有限公司

国械注准20203400181

78

生物可吸收冠脉雷帕霉素洗脱支架系统

山东华安生物科技有限公司

国械注准20203130197

79

药物球囊扩张导管

上海微创心脉医疗科技股份有限公司

国械注准20203130445

80

心血管光学相干断层成像设备及附件

深圳市中科微光医疗器械技术有限公司

国械注准20203060446

81

RNF180/Septin9基因甲基化检测试剂盒(PCR荧光探针法)

博尔诚(北京)科技有限公司

国械注准20203400447

82

等离子手术设备

湖南菁益医疗科技有限公司

国械注准20203010474

83

肿瘤电场治疗仪

NovoCure Ltd.

国械注进20203090269

84

经导管主动脉瓣膜系统

Edwards Lifesciences LLC

国械注进20203130291

85

经导管二尖瓣夹及可操控导引导管

Abbott Vascular

国械注进20203130325

86

糖尿病视网膜病变分析软件

上海鹰瞳医疗科技有限公司

国械注准20203210686

87

糖尿病视网膜病变眼底图像辅助诊断软件

深圳硅基智能科技有限公司

国械注准20203210687

88

髋关节镀膜球头

中奥汇成科技股份有限公司

国械注准20203130707

89

取栓支架

珠海通桥医疗科技有限公司

国械注准20203030728

90

血流储备分数测量设备

深圳北芯生命科技有限公司

国械注准20203070774

91

压力微导管

深圳北芯生命科技有限公司

国械注准20203070775

92

氢氧气雾化机

上海潓美医疗科技有限公司

国械注准20203080066

93

记忆合金钉脚固定器

兰州西脉记忆合金股份有限公司

国械注准20203130823

94

冠脉CT造影图像血管狭窄辅助分诊软件

语坤(北京)网络科技有限公司

国械注准20203210844

95

KRAS基因突变及BMP3/NDRG4基因甲基化和便隐血联合检测试剂盒(PCR荧光探针法-胶体金法)

杭州诺辉健康科技有限公司

国械注准20203400845

96

药物洗脱PTA球囊扩张导管

浙江归创医疗器械有限公司

国械注准20203030857

97

周围神经修复移植物

江苏益通生物科技有限公司

国械注准20203130898

98

肺结节CT影像辅助检测软件

杭州深睿博联科技有限公司

国械注准20203210920

医疗器械注册咨询

站点声明:

本网站所提供的信息仅供参考之用,并不代表本网赞同其观点,也不代表本网对其真实性负责。图片版权归原作者所有,如有侵权请联系我们,我们立刻删除。如有关于作品内容、版权或其它问题请于作品发表后的30日内与本站联系,本网将迅速给您回应并做相关处理。
北京飞速度医疗科技有限公司专注于医疗器械、诊断试剂产品政策与法规规事务服务,提供产品注册申报代理、临床合同(CRO)研究、产品研发、GMP质量辅导等方面的技术外包服务。